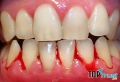
Viêm Nướu

Dấu hiệu nhận biết người mắc bệnh tiểu đường Top 12

Dấu hiệu nhận biết người mắc bệnh tiểu đường

23/09/2022 1380 0
Theo y học bệnh tiểu đường hay còn gọi là bệnh đái tháo đường, là một bệnh rối loạn chuyển hóa mạn tính rất phổ biến. Khi mắc bệnh tiểu đường, cơ thể bạn mất đi khả năng sử dụng...

Chính xác - Minh Bạch - Nhất quán
Website xếp hạng do người dùng đánh giá hàng đầu việt nam