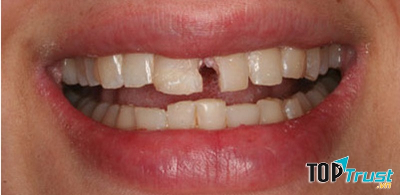
Thực phẩm phổ biến dễ gây sâu răng cho bạn nhất
Rượu vang
Vang đỏ, một loại đồ uống có tính axit, có chứa nhiều chromogens và tannin – hai hung thần gây ra sự ố răng. Và rượu vang trắng cũng tương tự. Rượu làm ức chế việc tiết nước bọt có tác dụng loại bỏ những thức ăn bám lại trên răng. Do đó, rượu được coi là thực phẩm có hại cho răng, có thể dẫn đến bệnh nướu răng và thậm chí là ung thư miệng.


Chanh và các loại quả có tính axit cao
Quả chanh nói riêng và các loại trái cây có tính axit nói chung sẽ khiến răng bị mất đi các chất khoáng. Khi chúng ta ăn nước bọt trong miệng giúp rửa trôi axít, tuy nhiên nếu axít tiếp xúc với răng quá nhiều sẽ dẫn đến bị bào mòn. Răng chúng ta có thể bị vàng và xỉn vì lớp men đã bị phá hủy. Nếu nước chanh là thức uống yêu thích của bạn, thì cũng nên cẩn thận, vốn là hỗn hợp của axit và đường nước chanh có thể gây sâu răng nếu chúng ta không đánh răng và súc miệng sau khi uống xong.
Các loại thực phẩm khác như cam, cà chua và bưởi... chứa hàm lượng axit cao nên rất hại cho men răng của bạn. Do đó, sau khi ăn những loại trái cây này thì bạn bạn cũng cần vệ sinh răng miệng thật kỹ lưỡng để giảm lượng axit tồn đọng lại trên răng, gây hủy hoại men răng khiến răng trở nên nhạy cảm.


Trà, cà phê
Trà và cà phê là thức uống ưa thích của nhiều người, đặc biệt là với người Việt Nam vì có vị thơm ngon đặc biệt nó còn giúp giữ cho cơ thể tỉnh táo để tập trung vào học tập, làm việc. Tuy nhiên những món đồ uống này lại chính là kẻ thù của hàm răng trắng sáng khỏe mạnh. Bởi vì chúng rất dễ bám thậm chí bám rất lâu trên bề mặt răng làm cho hàm răng của chúng ta bị ố vàng, xỉn màu. Nếu để lâu dài, muốn loại bỏ các vết ố trên men răng, bạn cần phải dùng chất làm trắng, baking soda...


Các loại nước có gas, nước tăng lực
Nước uống có gas hay các loại nước tăng lực chứa nhiều đường và còn chứa phosphoric và axit citric làm xói mòn men răng, tạo mảng bám khiến răng bị xỉn màu. Bởi vậy, rất có hại cho răng nếu sử dụng chúng thường xuyên. Trong các loại thức uống này có chứa nhiều axit phosphoric và axit citric làm mòn men răng, tạo mảng bám và khiến răng bị xỉn màu.


Sữa
Ai cũng biết sữa là loại đồ uống bổ dưỡng cung cấp canxi, vitamin nhóm D riboflavin, carotene và retinol cùng nhiều nhóm chất bổ khác cho cơ thể. Tuy nhiên, uống nhiều sữa rất dễ gây hại đến hàm răng của chúng ta nếu không chú ý đến vấn đề vệ sinh răng miệng. Do loại đường trong sữa là đường lactose, loại đường sẽ được chuyển hóa thành axit nhờ các loại vi khuẩn ở khoang miệng khi chúng ta uống. Do đó cần chú ý súc miệng sau khi uống sữa, tránh để sữa bám vào men răng và từ đó ăn mòn men răng, lâu dần sẽ mắc chứng sâu răng.


Nước đá
Nhiều người rất thích uống nước đá, bất kể là mùa hạ hay mùa đông. Tưởng chừng như chúng không gây hại gì đến răng. Ít ai biết uống nước đá thường xuyên có thể làm hỏng men răng, gây nứt, sâu răng. Thậm chí, nếu bạn thích cảm giác nhai những viên đá lạnh hay nhiều khi đang ăn đồ nóng mà đột ngột uống nước đá còn phải đối mặt với nguy cơ mẻ răng, lung lay hoặc gãy răng nữa.


Dưa chua
Đây là một thực phẩm rất được ưa chuộng và phổ biến rộng rãi, nó còn được chế biến theo nhiều cách khác nhau cho hợp khẩu vị. Tuy nhiên dưa muối chứa quá ít calo. Nó có thể gây các vấn đề cho màu trắng ngọc trai trên những chiếc răng. Thực phẩm chua có hàm lượng axit rất cao vì có giấm. Điều đó có thể dẫn đến việc khử khoáng răng. Thêm vào đó, các loại thực phẩm dưa muối thường chứa đường, một nhân tố góp phần tạo các lỗ hổng trên răng.


Bánh quy


Trái cây sấy khô
Trái cây khô đã trở thành những món ăn vặt yêu thích ở nhiều người vì sự đa dạng và tiện lợi của nó như quả nho, mận, chuối... Tuy nhiên, chúng ta không biết rằng trái cây khô có thể gây hại cho răng do chứa hàm lượng đường rất cao và dễ bám vào răng. Khi bám vào răng, nó có thể bẫy rất nhiều vi khuẩn và ẩn cư ở đó trong khoảng một thời gian dài. Vì vậy dễ gây sâu răng và các bệnh liên quan đến răng...


Nước sốt


Thực phẩm có chất dính
Các loại thực phẩm mang tính dẻo như các loại bánh nếp, trái cây sấy, kẹo gôm... sẽ làm tăng nguy cơ dính dắt kẽ răng, khó vệ sinh răng, dẫn đến tồn dư thức ăn là cơ hội để vi khuẩn đục phá răng của bạn.


Kẹo cứng
Kẹo cứng là một trong những thực phẩm gây bệnh sâu răng phổ biến nhất hiện nay. Mặc dù những loại kẹo cứng này có vẻ vô hại, nhưng nếu bạn ăn quá nhiều và việc tiếp xúc liên tục với đường có thể gây hại cho răng của bạn. Kẹo cứng cũng làm cho răng của bạn gặp rủi ro vì ngoài việc chứa đường, chúng cũng có thể gây ra một trường hợp khẩn cấp về nha khoa chẳng hạn như răng sâu hoặc răng bị sứt mẻ.
Để hạn chế tình trạng sâu răng. Bạn nên nhai kẹo cao su không đường chứa ADA Seal.

Khoai tây chiên giòn
Trong số chúng ta, ai mà không yêu thích các loại bánh khoai tây chiên giòn? Thật không may là khoai tây chiên chứa rất nhiều tinh bột. Các tinh bột sẽ có xu hướng mắc kẹt trong răng gây sâu răng.
Lời khuyên: Nếu bạn muốn thưởng thức khoai tây chiên giòn, hãy cẩn thận hơn bằng cách dùng chỉ nha khoa hoặc dùng tăm để xỉa răng để loại bỏ các mảnh vụn của khoai tây mắc kẹt trong răng gây nên sự hình thành của các mảng bám.


